原文始发于微信公众号(药时代):Cell子刊:首个患者来源的宫颈癌类器官模型,为宫颈癌研究提供新手段




撰文|王聪
宫颈癌是常见的妇科恶性肿瘤,通常由人乳头瘤病毒(HPV)感染引起。据世界卫生组织国际癌症署(IARC)发布了2020年全球最新癌症负担数据,宫颈癌是2020年全世界女性新发病例数第六的癌症,也是中国2020年女性新发病例数第六的癌症。然而,目前还没有研究人类宫颈组织的良好模型。
类器官(Organoids)能够在体外模拟体内器官的三维结构和功能,已被广泛应用于功能组织诱导、疾病模型建立、药物筛选等方面的研究,成为过去十年再生医学领域最重要的突破之一。
2021年4月13日,荷兰乌德勒支大学Hans Clevers团队在Cell子刊Cell Stem Cell期刊发表了题为:Patient-derived organoids model cervical tissue dynamics and viral oncogenesis in cervical cancer的研究论文。
研究团队开发了首个基于患者的宫颈癌类器官模型,研究团队还使用类器官对健康的人类子宫颈进行了建模,并使用基于该类器官平台研究了疱疹病毒的性传播感染。此外,该类器官模型还可以用于研究导致宫颈癌的人类乳头瘤病毒(HPV)。

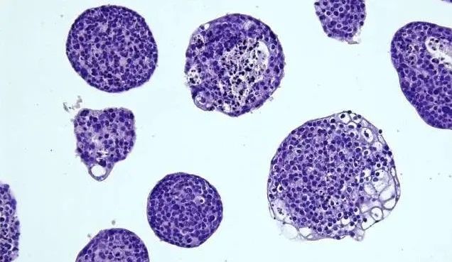
为了开发出更好的人类宫颈组织模型,研究团队从健康志愿者或患有不同类型宫颈癌的患者那里获得了人类宫颈组织。然后从这些宫颈组织中生长类器官,这些类器官形成约3毫米大小的3D结构,能够很好地模拟器官功能。

源自健康组织的宫颈类器官与实际人宫颈的组织结构和基因表达谱非常相似。因此,类器官很有希望用于研究病毒感染人宫颈时所发生的情况。研究团队使用了1型单纯疱疹病毒(HSV-1)证明了该类器官模型在研究性传播感染方面的潜力。

宫颈癌通常是由人乳头瘤病毒(HPV)感染引起,但由于HPV病毒难以在实验室中培养,因此对该病毒的研究非常复杂。而该研究中开发的类器官模型,有望克服这一障碍,更好地研究HPV病毒,以及该病毒感染是如何致癌的。
从癌组织生长的类器官,也称为肿瘤类器官(tumoroids),非常类似于实际的肿瘤。它们显示出典型的癌症突变和基因表达谱,并具有与实际肿瘤相似的形态异常。

宫颈癌类器官
研究团队使用来自宫颈癌患者的宫颈癌细胞生长出了宫颈癌类器官,并进一步发现该肿瘤类器官对普通化学疗法的反应不同,这为精精准医学铺平了道路。或许将来就可以根据肿瘤类器官的结果预测那种化疗方法最适合特定患者。
总的来说,该研究成功构建了人宫颈类器官和来自患者的宫颈癌类器官,能够对正在癌变的活细胞进行深入分析。而且这种简单高效的方法,有望在全球范围内迅速产生更多基于类器官的宫颈癌生物库,这将为推进宫颈生物学及相关疾病的研究提供新的手段。


推荐阅读
中国好药都!——连云港(这里有恒瑞、豪森、正大天晴、康缘。。。) 中国好项目 | 韩国公司对中国NASH新药项目的韩国权益感兴趣 「望石智慧」获一亿美元B及B+轮融资,双引擎加速AI制药产业化落地 中国好CBO | 这些新药公司聘请了首席商务官,共18位! 重磅!祐森健恒与药明康德签署1类创新药项目合作协议 药时代直播间63期 |人工智能——如何助力新药研发? 一波三折,近十年首个“多动症非刺激疗法”——Qelbree获批问世 创新制胜,历久弥新!——专访勃林格殷格翰全球创新事业部负责人Michel Pairet博士 新药研发让这些中国城市名扬天下!(2021年4月5日,第一版本) 38万+阅读量!2021年Q1药时代头条汇总(90篇精彩文章) 炎炎红镜东方开,明朝日月换新天!——邵峰院士与邓天敬博士联手打造炎明生物 谢雨礼博士 | 接过“寻找新药,为人民解除病痛”的接力棒!——纪念恩师谢毓元院士 BridGene Biosciences宣布与武田制药达成合作,共同研发针对“不可成药”靶点的小分子药物 王晓东|从NIBS走出的维泰瑞隆,做药的逻辑是什? 药时代倡议 | 一起绘制【中国新药“清明上河图”】——中国新药历史图鉴,一片壮丽的星辰大海! 著名投资机构支持的核酸新药研发公司诚聘技术合伙人! 重磅!新格诺康 (SignalChem)宣布与默沙东(MSD)联合开展临床二期试验 人工智能(AI)如何助力新药发现?答案在这里! 勃林格殷格翰2020经营业绩取得积极增长 翰森制药中国首款原研TFV前药“艾米替诺福韦”即将获批!更安全高效的HBV治疗选择 腾盛博药完成1.55亿美元C轮融资 创新最美,予她无畏!——乳腺癌新药唯择®(阿贝西利片)上市之际,专访礼来中国高级副总裁王莉博士 积“微”成著创新药,“芯”火相传照未来!——祝风华正茂的微芯生物继续乘风破浪,再创辉煌! 微芯生物二十周年 | 中国原创新药的拓荒者——筚路蓝缕,无怨无悔! 他不是“药神”,他是暨南药学领跑者丁克|国华杰出学者 今天是全国爱肝日,188篇好文章和2场公益直播与您精彩分享! 肾病患者的福音!口服类固醇Nefecon向FDA递交上市申请,治疗IgA肾病 【JMC综述】从FDA近10年批准的药物看新药研发的趋势与未来(2010-2019) 重磅消息扎堆!临床试验终止,FDA批准适应症撤回,新药获批,大额并购,跨境合作。。。 拯救失眠,FDA受理Idorsia公司失眠药daridorexant的上市申请;多家PK,中国艾曲波帕首仿获批在即 谢雨礼博士 | 新药大时代:小分子突破,双抗ADC爆发,RNA王者归来,生物相变能否成就下一个诺奖? 极目生物宣布完成超1亿美元B轮融资,继续加快推动产品管线拓展、临床开发及商业化 破局晚期乳腺癌治疗——礼来CDK4 & 6抑制剂唯择®(阿贝西利片)在中国上市 为千百万患者提供新药解决方案——专访著名华人女性科学家徐连红博士 女神节将至,敬祝25位女性领袖和千千万万女同药们节日快乐! 我和我的药时代 | 18位大咖畅谈中国新药研发 AI医疗大联盟(AAIH),一遇风云便化龙!


点击这里,欣赏更多精彩内容!发布者:药时代,转载请首先联系contact@drugtimes.cn获得授权
为好文打赏 支持药时代 共创新未来!